6月12日,在心血管病院寿锡凌常务副院长指导下,心内二科梁磊主任团队通力合作,成功开展欧美视频
首例复杂高危冠脉病变合并重度心衰患者CorVad左心室辅助系统支持下的介入治疗,这标志着CorVad左心室辅助系统支持高危PCI的前瞻性、多中心RCT临床研究顺利入组完成。CorVad为国内自主研发的新一代左心室辅助系统,其在欧美视频
首次临床应用,不仅彰显了欧美视频
心内科团队在心血管介入治疗领域的较高造诣,还有效提升了高危复杂冠脉病变PCI手术治疗的安全性,为广大冠心病患者带来了新的治疗希望和福音。
患者77岁,反复出现胸闷、气短,运动耐量严重下降,外院冠脉造影提示无保护左主干病变,左主干及前降支近中段重度狭窄合并严重钙化,回旋支弥漫性病变,左室射血分数小于40%,拒绝外科搭桥,曾就诊多家医院。经心内二科充分讨论,决定在CorVad左心室辅助系统支持下行PCI术,可以充分保证手术的安全性。
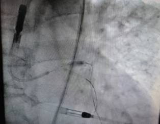
术中置入CorVad左心室辅助装置,针对左主干、前降支重度钙化病变行旋磨,在IVUS指导下成功行冠脉左主干分叉病变血运重建。手术过程中患者生命体征平稳,在导管室技师及护理团队的通力合作下,手术获得圆满成功。
随着人口老龄化的进展,我国冠心病人群的病情日趋复杂,多为高龄、复杂高危冠脉狭窄、重度心力衰竭患者,这类患者往往不能耐受外科手术,PCI手术的难度和风险也较高,术中短暂的心肌缺血也会导致低血压和心脏输出量下降,出现心源性休克、循环崩溃甚至死亡。以CorVad为代表的新一代左心室辅助系统可以在PCI围手术提供支持,增加心脏输出量,改善周围组织供血,同时减轻心室负荷,减少心肌氧耗,增加冠脉血流和心肌灌注,提高手术安全性和患者耐受性,为高危PCI保驾护航。

