近日,在神经脑科病院常务副院长、科主任吕桦的带领下,在病理科李文生主任、王苗苗医师的密切协作支持下,在邸伟主任医师、赵瑞副主任医师的帮助下,神经内一科袁婕副主任医师首次应用皮肤病理活检术诊断罕见病神经元核内包涵体病(NIID)一例。
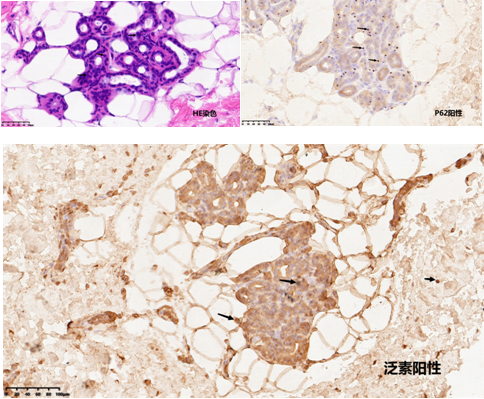
神经元核内包涵体病(neuronal intranuclear inclusion disease,NIID)是一种非常罕见的疾病,临床表现极其复杂,涵盖很宽泛的鉴别诊断疾病谱,临床医生往往对该疾病陌生,容易导致误诊或漏诊。该疾病以往常以尸检确诊,国内外的研究提示皮肤病理活检对于NIID的诊断价值等同于脑活检或尸检。因此,神经内一科开展了皮肤病理活检技术。此次皮肤病理活检的开展,为欧美视频
今后罕见病的诊疗提供了新的检查路径,整体上提升了欧美视频
罕见病的诊疗水平。
皮肤病理活检是一种安全、无痛的检测细神经纤维的方法。在欧美国家,越来越多的实验室已经将皮肤病理活检应用于周围神经病患者的临床评估中,借以早期诊断周围神经病变。此次欧美视频
首例皮肤病理活检的开展,为欧美视频
周围神经病的诊治打开了一扇新的窗口。目前,此项工作正在有序进行中。

