近日,心血管内三科接连成功完成3台高难度四级手术,用实干佳绩为2025年带来了一个精彩的开篇。
1月2日,新年的第一个工作日,在科室精心准备及心内一科王军奎主任团队的支持下,经导管主动脉瓣置换术(TAVR)手术顺利开台。接受手术的是一位来自宝鸡市岐山县的72岁老年女性患者,患者近2年来反复胸闷气短,备受疾病困扰,心脏彩色多普勒超声提示主动脉瓣重度狭窄,最大跨瓣压差达137mmHg,瓣上最大血流速度585cm/s。姜馨主任主持多学科讨论,审慎评估病情,确定为患者行TAVR手术的治疗方案。经积极准备,张炜副主任医师带领心内三科TAVR团队与心内一科潘硕博士团队密切合作,顺利完成手术。患者术后胸闷气短症状明显好转,复查心脏超声显示主动脉瓣人工瓣膜固定良好,最大跨瓣压差17mmHg,瓣上血流速度基本正常。患者术后恢复良好,已顺利出院。
同时,科室成功为两名均发生过房颤栓塞事件的高危老年男性患者实施左心耳封堵术。其中一位患者既往诊断风湿性心脏病、心房颤动,近年反复发作3次脑栓塞事件,最近的一次脑栓塞发生在2周前,严重影响患者生命安全及生活质量。另一位患者有10余年的房颤病史,1月前发生下肢动脉栓塞,经积极治疗避免了截肢风险。两位患者均为在抗凝治疗情况下,发生房颤栓塞事件,经病情评估及全科讨论,行左心耳封堵术预防栓塞指征明确。心内三科手术团队李喆副主任医师、薛建颖主治医师、孟航主治医师、刘成峰住院医师通力合作,成功为两位房颤高栓塞风险患者完成左心耳封堵术,术后两位患者均恢复良好。
心内三科2024年共完成5例左心耳封堵及1例TAVR 共6例四级手术。新年新起点,开年之初连续3台四级手术的成功开展,不仅展现了心内三科在高难度四级手术方面的进步,也体现了科室发展从积累“量”到提高“质”的决心,科室将继续砥砺前行,为更多患者点亮健康之光,为医院高质量发展更大的贡献力量。

图1 TAVR手术

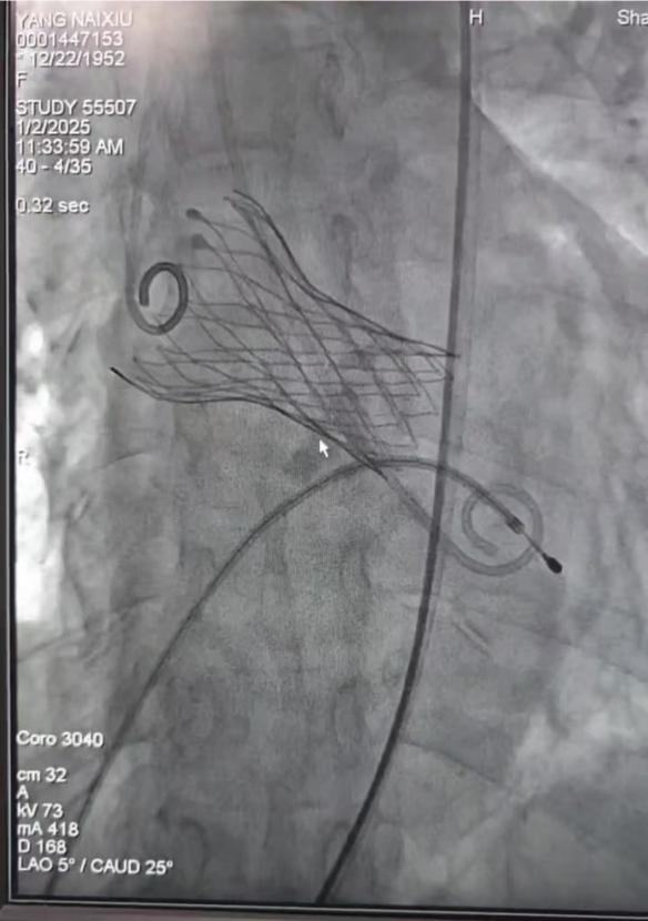
图2 左心耳封堵,房颤合并反复脑栓塞患者

图3 左心耳封堵,房颤合并下肢动脉栓塞患者